知識分享
【多囊卵巢症】專家拆解PCOS成因、症狀、懷孕機率及治療方法
當女性的AMH數值過高>5 的時候,就可能患有多囊卵巢综合症(PCOS)候群,多囊的女性常因賀爾蒙分泌異常,導致濾泡发育不全,以致月經不規律、遲到,亦會降低患者的受孕率,更是很常見的一種婦女病。
想了解AMH是什麼,請參考:AMH是什麼?用AMH檢測卵巢功能與生育力
有關多囊卵巢症的資訊:
多囊卵巢症可能造成的症狀:
✓ 月經失調
一年中少於 6 次,或者是經期之間相隔超過 35 天
✓ 雄激素過量
痘痘增多、體毛過多(尤其在上唇處、下巴、腹部、上臂或腋下)
✓ 卵巢結構異常
經影像學檢查發現卵巢有變大情況,或是在卵巢發現超過 10-12 顆以上濾泡
多囊性卵巢症候群所出現荷爾蒙異常,則會出現毛髮量增多、青春痘、掉髮,與亂經等情況;而胰島素抗阻則是細胞、胰島素沒有反應,導致葡萄糖過多,不只會有新陳代謝疾病和肥胖問題,也會影響排卵。若有相關疑慮請到婦產科檢查及諮詢醫生意見,若有懷孕計劃也可到輔助生育科就醫。
了解更多:如何檢查卵巢功能?卵巢功能失調該怎麼辦?
香港區【ivf想孕療程】講座報名連結:
https://ivftw.com/香港IVF講座/230925
患上多囊卵巢症的原因
罹患多囊性卵巢症候群的確切原因至今仍是未知,臨床上普遍認為是與遺傳、荷爾蒙變化等有關。
- 先天因素:擁有相關家族疾病史的女性可能會有激素分泌問題,雄激素分泌增加,導致排卵困難。
- 後天因素:臨床觀察發現肥胖、胰島素阻抗等因素也會容易誘發女性罹患多囊性卵巢症候群。
多囊卵巢症會影響懷孕嗎?
多囊性卵巢患者常有月經失調的問題,另外雄激素過多也會導致排卵苦難的問題,患者較難受孕。但,多囊性卵巢症候群的患者可以透過治療提升懷孕率。
多囊卵巢症常用的治療方式
- 口服避孕藥:使用口服避孕藥抑制雄激素的產生,讓患者產生規律的月經,適合暫無生育計劃的女性。
- 控制胰島素阻抗力:使用藥物降低胰島素濃度,幫助患者恢復排卵能力和其他症狀(如:減輕體重、減緩毛髮生長速度)。
- 排卵藥劑:使用排卵藥劑刺激排卵,增加懷孕率,適合有生育計劃的女性。
- 控制體重:因肥胖而引起的多囊性卵巢,在患者控制體重後月經失調的問題可得到改善。
改善多囊卵巢症的日常調理方法
1. 規律運動
BMI值介於18-24之間,減少雄激素與降低胰島素阻抗
2. 調整飲食
選擇富含纖維素高、減少反脂肪、飽和脂肪及精致碳水化合物食品
3. 維生素D3、Q10
調節胰島素敏感性,改善排卵問題,提升卵子質量與受孕率。肌醇、葉酸也可助於協調胰島素作用
| 褪黑激素 | 睡前3毫克 |
| 硫辛酸 | R型硫辛酸200-300毫克 標準劑型600毫克 |
| 乙醯半胱胺酸 | 典型劑量600毫克 |
(引用自《養卵聖經:給所有想當媽媽的人,最完整的科學養卵、護胎指南!》,柿子文化
多囊卵巢症案例
四代試管技術 助多囊媽媽成功得子
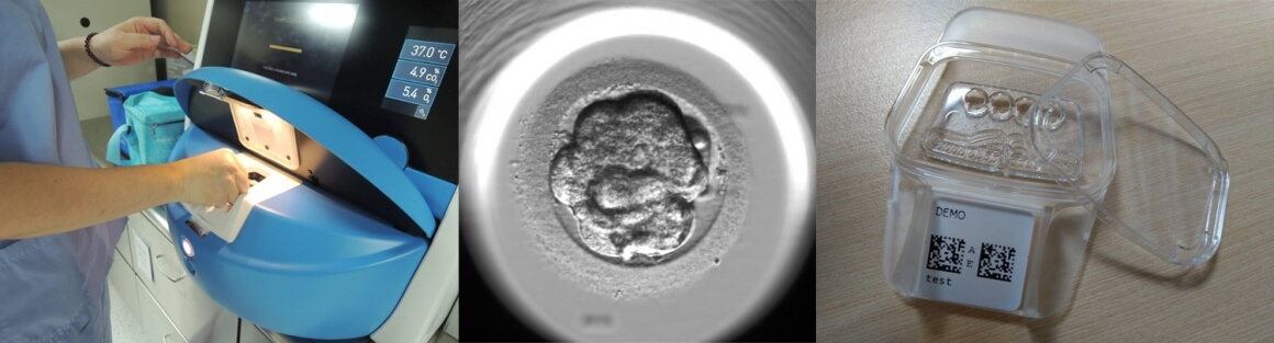
多囊性卵巢女性的卵子質量較差,因此可透過「四代試管」來篩選出最佳胚胎,以大幅提升懷孕率。所謂的四代試管,是在三代試管PGS胚胎著床前基因篩檢為基礎,加入人工智能Time-lapse胚胎影像實時監控系統,在不取出胚胎的情況下24小時觀察胚胎生長狀況,選出發育最好的胚胎進行植入。
茂盛醫院所使用的PGS是最分辨率最高的hr-NGS高分辨率次世代定序分析平台,且本院為全台唯一獲得TAF實驗室認證的生殖中心,可確保PGS報告的嚴謹及精確度,能讓醫生做最正確的判斷,也因此提高了懷孕率。四代試管中的AI人工智能,更讓單一胚胎植入的成功率高達80%以上,以避免為成功懷孕植入過多胚胎,造成高齡孕婦及孩子早產之風險。

▲四代試管 = 三代試管PGT-A(PGS)胚胎著床前基因篩檢+ Time-lapse胚胎影像實時監控系統 + 演算法

▲精準AI試管技術
插畫家不死兔 多囊難排卵,四代試管成功懷孕
網路知名插畫家「不死兔」在臉書粉專擁有二十五萬名粉絲,除了在網路上分享圖文以外,也是著名的LINE貼圖插畫家,最近還開啟網路課程教學當起老師,傳授如何創作貼圖的經驗與訣竅!身為金牛座的他,即使家人曾不看好他插畫家一職,卻一直堅持自己想做的事,在事業上不斷追求突破,完成自己的目標!接下來的人生與老公柴尼想擁有自己的孩子,卻因為多囊體質較難懷孕,從2020年開始備孕兩年都沒有消息,原先在他院嘗試一次試管也沒有成功本來很灰心的不死兔,決定在2022年重新出發,也成功在茂盛醫院懷孕囉!
多囊不孕夫妻透過試管誕下健康龍鳳胎
台灣知名部落客布萊克夫婦,因多囊性卵巢造成不孕,努力3年試過14種方法全部失敗,在2018年開始嘗試試管嬰兒療程,在第三次植入終於成功懷孕,並生下健康的龍鳳胎寶寶。
參考資料:
- Polycystic ovary syndrome - Office on Women's Health
- Polycystic ovary syndrome (PCOS) - Mayo Clinic
- 謝汝萱(譯)(2021)。養卵聖經:給所有想當媽媽的人,最完整的科學養卵、護胎指南!。臺北市:柿子文化。(Rebecca Fett,2014)
香港區【ivf想孕療程】講座報名連結:
https://ivftw.com/香港IVF講座/230925
聯絡我們
近年,越來越多香港夫婦選擇到亞洲生育技術第一的台灣接受試管嬰兒 ( IVF) 及人工受孕等療程,除了香港外,到訪台灣接受試管嬰兒療程的人士主要來自澳門、中國大陸、日本及菲律賓等地。茂盛醫院生殖醫學中心屬台灣頂尖不孕症權威醫院,有逾38年臨床經驗。生殖團隊均由碩博士人才組成,年資平均超過20年,經驗豐富。我們的單一胚胎植入成功率更高達70%。據台灣國健署統計,茂盛醫院連續蟬聯全台試管週期數榜首,平均每3個試管嬰兒,便有1個來自茂盛醫院,至今累積逾40,000名試管嬰兒成功案例,服務對象來自全球38個國家及地區。本院更設有精通雙語之國際事務部,為有生育需要的香港夫婦提供醫療預約諮詢、來台陪診等服務。如對手續、費用或其他方面有任何疑問,歡迎電郵至ivftaiwanlee@gmail.com與我們聯絡。
若您還有其他疑問,歡迎通過下列聯絡方法作進一步詢問
WhatsApp Lee Women's Hospital HK▸ https://wa.me/886966537635
網站▸ https://bit.ly/3XwmrNT
Inbox Facebook▸ https://bit.ly/3YwAbtt
Inbox Instagram▸ https://bit.ly/3RSUsqu
(若您為持有台灣健保卡患者,建議使用LINE官方聯繫)
其他相關訊息
-
03.Oct.2025
子宮肌腺症會變癌嗎?原因、治療方式與注意事項一次看懂
-
03.Oct.2025
子宮內膜異位怎麼改善?運動建議、飲食禁忌與保健食品全攻略
-
18.Aug.2025
凍卵前必讀:年齡限制?雪卵後怎麼懷孕、流程、費用和注意事項




